Full Arch Replacements in Nashville, TN
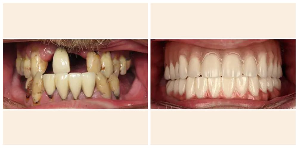
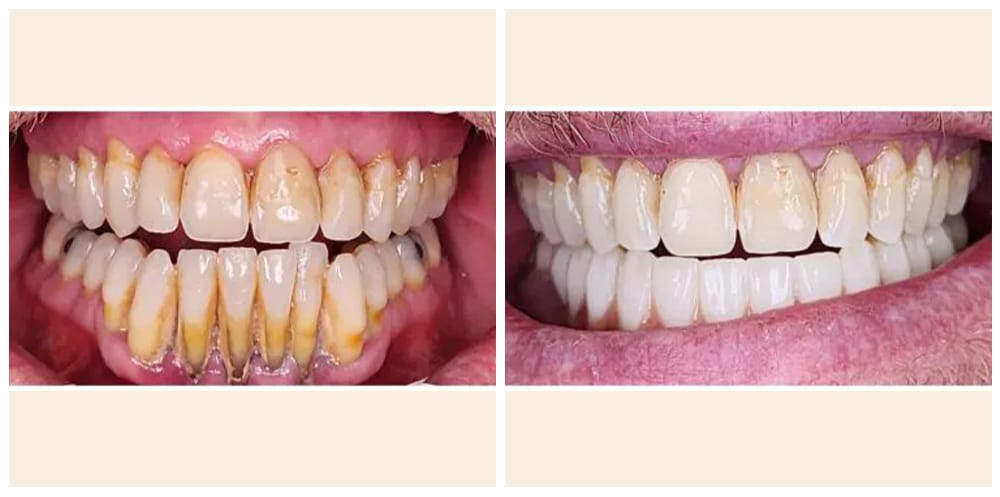
Missing teeth can affect every aspect of your daily life – from enjoying your favorite foods to speaking clearly and smiling with confidence. At Dental Design Studios LLC, Dr. Andrew Kim specializes in advanced implant solutions that restore both function and aesthetics to your smile.
Our comprehensive approach focuses on your individual needs, providing permanent, natural-looking replacements that seamlessly integrate with your existing teeth. With years of clinical excellence and a significant number of successful implant procedures, we’re committed to helping you achieve optimal oral health and renewed confidence.
- Are you tired of constant teeth problems and pain?
- Do you miss eating your favorite foods?
- Are you embarrassed to smile?
Life is too short to suffer with these problems.












